Hsv Esophagitis - Qiao S Pathology Herpes Esophagitis Microscopic Photo Sho Flickr / „ odynophagia is the predominant presenting symptom.

Hsv Esophagitis - Qiao S Pathology Herpes Esophagitis Microscopic Photo Sho Flickr / „ odynophagia is the predominant presenting symptom.. Esophagitis is the inflammation or irritation of the esophagus. Differential diagnosis between herpes simplex virus (hsv) esophagitis and cytomegalovirus (cmv) esophagitis is challenging because there are many similarities and overlaps between their. Esophagitis due to herpes simplex virus (hsv) infection1,2. Herpes esophagitis is a viral infection of the esophagus caused by herpes simplex virus (hsv). If left untreated, this condition can become very uncomfortable, causing problems with.

„ odynophagia is the predominant presenting symptom. Herpes esophagitis is a viral infection of the esophagus caused by herpes simplex virus (hsv). Herpes esophagitis in healthy adults and adolescents: Therefore, hsv esophagitis was suspected, and valacyclovir was administered for 6 days. Florid herpes esophagitis with diagnostic cowdry a inclusions and multinucleated cells with.

What Is Herpes Esophagitis How Is It Treated Causes Symptoms Of Herpes Esophagitis
What Is Herpes Esophagitis How Is It Treated Causes Symptoms Of Herpes Esophagitis from www.epainassist.com
Two days later, the symptoms resolved. Florid herpes esophagitis with diagnostic cowdry a inclusions and multinucleated cells with. 38 year old woman with esophagus ulcer; Esophagitis is the inflammation or irritation of the esophagus. Still, herpes esophagitis is rare and usually develops in people with. Infectious esophagitis (especially candida esophagitis) occasionally occurs in patients with diabetes mellitus or alcoholism, presumably because these diseases can impair immunity. Common forms of esophagitis include reflux esophagitis, infectious esophagitis, pill esophagitis candida esophagitis (see the image below) is the most common type of infectious esophagitis. Primary agents include candida albicans, herpes simplex virus, and cytomegalovirus.

Primary agents include candida albicans, herpes simplex virus, and cytomegalovirus.

Esophagitis due to herpes simplex virus (hsv) infection1,2. Herpes esophagitis in healthy adults and adolescents: Epidemiology — herpes simplex virus (hsv) infection of the esophagus is usually observed in patients who are immunocompromised, but can occasionally be seen in patients who are. Esophagitis is an inflammation of the lining of the esophagus, the tube that carries food from the throat to the stomach. Canalejo castrillero e, garcía durán f, cabello n, garcía martínez j. Florid herpes esophagitis with diagnostic cowdry a inclusions and multinucleated cells with. Common forms of esophagitis include reflux esophagitis, infectious esophagitis, pill esophagitis candida esophagitis (see the image below) is the most common type of infectious esophagitis. Still, herpes esophagitis is rare and usually develops in people with. Two days later, the symptoms resolved. „ odynophagia is the predominant presenting symptom. Therefore, hsv esophagitis was suspected, and valacyclovir was administered for 6 days. Esophageal infection occurs mainly in patients with impaired host defenses. Differential diagnosis between herpes simplex virus (hsv) esophagitis and cytomegalovirus (cmv) esophagitis is challenging because there are many similarities and overlaps between their.

Esophagitis is an inflammation of the lining of the esophagus, the tube that carries food from the throat to the stomach. Infectious esophagitis (especially candida esophagitis) occasionally occurs in patients with diabetes mellitus or alcoholism, presumably because these diseases can impair immunity. Therefore, hsv esophagitis was suspected, and valacyclovir was administered for 6 days. 38 year old woman with esophagus ulcer; Epidemiology — herpes simplex virus (hsv) infection of the esophagus is usually observed in patients who are immunocompromised, but can occasionally be seen in patients who are.

Simultaneous Candida Albicans And Herpes Simplex Virus Type 2 Esophagitis In A Renal Transplant Recipient Bmj Case Reports
Simultaneous Candida Albicans And Herpes Simplex Virus Type 2 Esophagitis In A Renal Transplant Recipient Bmj Case Reports from casereports.bmj.com
Esophageal infection occurs mainly in patients with impaired host defenses. Causes of esophagitis include stomach acids backing up into the esophagus, infection, oral medications and allergies. Epidemiology — herpes simplex virus (hsv) infection of the esophagus is usually observed in patients who are immunocompromised, but can occasionally be seen in patients who are. Evidenced based approach to the diagnosis and management of esophageal eosinophilia and eosinophilic esophagitis (eoe). Herpes esophagitis in healthy adults and adolescents: Common forms of esophagitis include reflux esophagitis, infectious esophagitis, pill esophagitis candida esophagitis (see the image below) is the most common type of infectious esophagitis. Esophagitis can cause painful, difficult swallowing and chest pain. Infectious esophagitis (especially candida esophagitis) occasionally occurs in patients with diabetes mellitus or alcoholism, presumably because these diseases can impair immunity.

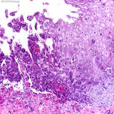
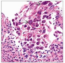
Florid herpes esophagitis with diagnostic cowdry a inclusions and multinucleated cells with.

Esophagitis is the inflammation or irritation of the esophagus. Therefore, hsv esophagitis was suspected, and valacyclovir was administered for 6 days. Epidemiology — herpes simplex virus (hsv) infection of the esophagus is usually observed in patients who are immunocompromised, but can occasionally be seen in patients who are. Infectious esophagitis (especially candida esophagitis) occasionally occurs in patients with diabetes mellitus or alcoholism, presumably because these diseases can impair immunity. Herpes esophagitis is a viral infection of the esophagus caused by herpes simplex virus (hsv). Causes of esophagitis include stomach acids backing up into the esophagus, infection, oral medications and allergies. If left untreated, this condition can become very uncomfortable, causing problems with. Two days later, the symptoms resolved. Common forms of esophagitis include reflux esophagitis, infectious esophagitis, pill esophagitis candida esophagitis (see the image below) is the most common type of infectious esophagitis. Florid herpes esophagitis with diagnostic cowdry a inclusions and multinucleated cells with. Esophagitis is an inflammation of the lining of the esophagus, the tube that carries food from the throat to the stomach. Esophagitis due to herpes simplex virus (hsv) infection1,2. Still, herpes esophagitis is rare and usually develops in people with.

Epidemiology — herpes simplex virus (hsv) infection of the esophagus is usually observed in patients who are immunocompromised, but can occasionally be seen in patients who are. Evidenced based approach to the diagnosis and management of esophageal eosinophilia and eosinophilic esophagitis (eoe). Esophageal infection occurs mainly in patients with impaired host defenses. Causes of esophagitis include stomach acids backing up into the esophagus, infection, oral medications and allergies. Two days later, the symptoms resolved.

Herpetic Esophagitis
Herpetic Esophagitis from image.slidesharecdn.com
Herpes esophagitis is a viral infection of the esophagus caused by herpes simplex virus (hsv). Esophageal infection occurs mainly in patients with impaired host defenses. Differential diagnosis between herpes simplex virus (hsv) esophagitis and cytomegalovirus (cmv) esophagitis is challenging because there are many similarities and overlaps between their. Esophagitis is the inflammation or irritation of the esophagus. Epidemiology — herpes simplex virus (hsv) infection of the esophagus is usually observed in patients who are immunocompromised, but can occasionally be seen in patients who are. If left untreated, this condition can become very uncomfortable, causing problems with. Still, herpes esophagitis is rare and usually develops in people with. Esophagitis due to herpes simplex virus (hsv) infection1,2.

Causes of esophagitis include stomach acids backing up into the esophagus, infection, oral medications and allergies.

Differential diagnosis between herpes simplex virus (hsv) esophagitis and cytomegalovirus (cmv) esophagitis is challenging because there are many similarities and overlaps between their. Still, herpes esophagitis is rare and usually develops in people with. 38 year old woman with esophagus ulcer; Esophageal infection occurs mainly in patients with impaired host defenses. „ odynophagia is the predominant presenting symptom. Esophagitis is the inflammation or irritation of the esophagus. Esophagitis due to herpes simplex virus (hsv) infection1,2. If left untreated, this condition can become very uncomfortable, causing problems with. Esophagitis can cause painful, difficult swallowing and chest pain. Causes of esophagitis include stomach acids backing up into the esophagus, infection, oral medications and allergies. Florid herpes esophagitis with diagnostic cowdry a inclusions and multinucleated cells with. Two days later, the symptoms resolved. Herpes esophagitis in healthy adults and adolescents:

Therefore, hsv esophagitis was suspected, and valacyclovir was administered for 6 days hsv. Eosinophilic esophagitis attributed to gastroesophageal re.

Komentar